珈創生(sheng)物 —— 生(sheng)物技術服務與(yu)研(yan)發(fa)為一體(ti)的高新技術企業
優質高(gao)效透明
High quality, efficient and transparent
1、簡介
珈創生物病(bing)(bing)理室(shi)成(cheng)立于2022年,擁有(you)達(da)科為切片機及(ji)攤片機、達(da)科為全達(da)自動(dong)(dong)(dong)組織(zhi)脫水機、奧林巴(ba)斯顯(xian)微鏡(jing)。可(ke)提供動(dong)(dong)(dong)物組織(zhi)、細胞(bao)等(deng)病(bing)(bing)理制(zhi)樣(yang)和觀察服務(wu),可(ke)有(you)效為客戶提供服務(wu)具有(you)周期短、定(ding)位準、質量(liang)高(gao)等(deng)特(te)點(dian)。病(bing)(bing)理室(shi)可(ke)針對動(dong)(dong)(dong)物試驗,提供小鼠及(ji)其他(ta)實驗動(dong)(dong)(dong)物的(de)組織(zhi)HE染(ran)色切片,觀察腫瘤或其他(ta)病(bing)(bing)變,滿足要《中華(hua)人民共和國藥典 三(san)部》的(de)要求;對于干細胞(bao)三(san)系(xi)分化,畸胎瘤的(de)三(san)胚層分化,有(you)豐富檢(jian)測(ce)經驗。檢(jian)測(ce)報(bao)告認可(ke)度高(gao),協助(zhu)多家企業的(de)IND及(ji)BLA申報(bao)。
公(gong)司特聘前武漢大學基礎醫學院倪永(yong)輝教授作為技術(shu)指導。
2、流程介紹
達(da)科為(wei)切片機及攤片機
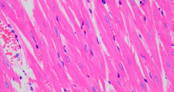
心臟環切(qie)光鏡400倍
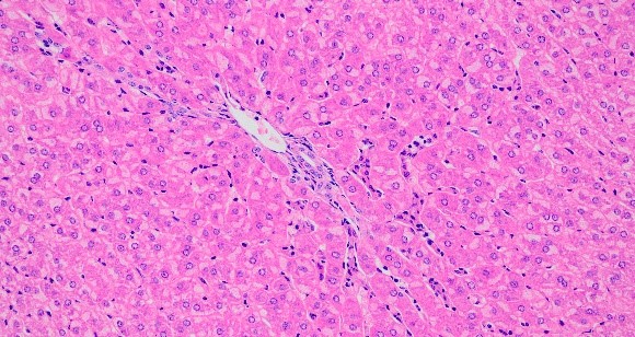
肝臟(zang)光鏡200倍
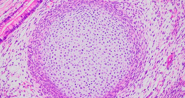
脾臟(zang)光鏡(jing)40倍(bei)
軟(ruan)骨光(guang)鏡200倍(bei)